The first case was a 29-year-old Indonesian woman, multigravida, referred to the Cipto Mangunkusumo Intensive Care Unit with chief complaint of headache 1 day prior to admission to the hospital. The pain numeric rating scale was 7/10. The throbbing headache was felt on top of the head and was exacerbated by a fever. The headache subsided with paracetamol and rest. The patient felt more comfortable in a quiet place.
On arrival, the patient was conscious with a Glasgow coma scale of 15 and oxygen saturation of 98% with a non-rebreathing mask at 10 L per minute. Cardiac auscultation heart sounds revealed irregular rhythm with a pansystolic murmur at the pulmonal valve. Echocardiography showed severe pulmonary stenosis. The patient had New York Heart Association functional classification (NYHA FC) III–IV. There were clubbed fingers and nuchal rigidity was positive. Blood examination revealed leukocytosis of 1221 × 109/L. Obstetric ultrasonography revealed intrauterine growth restriction. Cerebrospinal fluid indicated bacterial infection and tested negative for polymerase chain reaction (PCR) tuberculosis. Cerebral fluid analysis for leukocytes and protein was elevated and glucose levels were decreased, indicating bacterial meningitis. Cerebral fluid culture showed no growth of microorganisms. The patient was immediately given vancomycin (500 mg every 6 hours, intravenous) and meropenem (2 g every 8 hours, intravenous) for 10 days and dexamethasone (20 mg every 24 hours, intravenous) to treat meningitis.
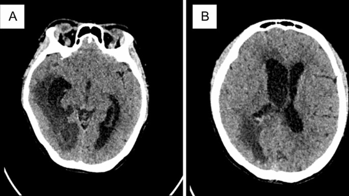
On day 5 in the ICU, the patient’s condition worsened; her level of consciousness deteriorated (Glasgow coma scale E3M5V2), and she had sudden apnea. Obstetric Doppler ultrasonography revealed cerebral blood-flow redistribution of the fetus. Head computed tomography (CT) scan revealed diffuse brain swelling and hydrocephalus (Fig. 1). The patient was then intubated, and scheduled for an emergency cesarean section to terminate the pregnancy. The baby was born alive at 31 weeks. External ventricular drainage (EVD) was also inserted to alleviate the hydrocephalus; 2 days following the caesarean delivery, the patient’s condition improved and she was already extubated. The patient’s condition continued to improve and she was discharged to the ward on day 13 of care.
First patient’s head computed tomography: A ventriculitis and communicans hydrocephalus. B subfalcine herniation to the left
The second patient was a 27-year-old Indonesian woman, primigravida, referred to our ICU with a chief complaint of seizures 3 days prior to admission with a high fever. The patient once experienced a seizure while she was sleeping; the preictal was unknown. During the seizure, the patient’s eye and head were slightly moving to the left, along with her left hand and left foot also convulsing; the patient was unconscious during the seizure, which lasted for 2 minutes, and 3 hours after the seizure, the patient had an altered mental status and was initially treated in the ICU in another hospital before she was referred to the ICU of Cipto Mangunkusumo Hospital.
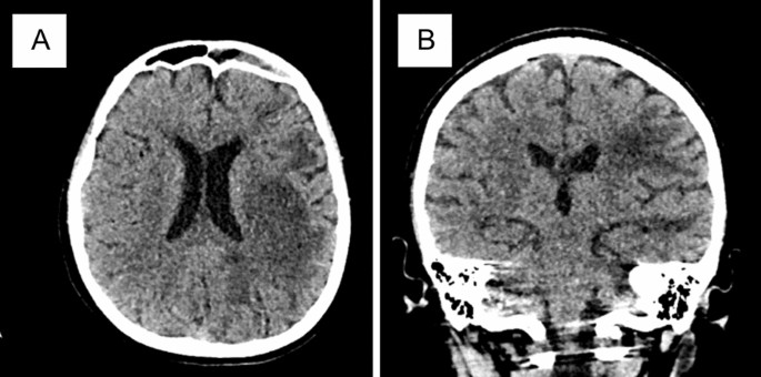
During physical examination in the ICU, the patient was sedated and intubated with a Glasgow coma scale of E2M4VT. Oxygen saturation was 93–100% on a ventilator with FiO2 40%. There were clubbed fingers, as well as an increase in physiological reflex on the right side, positive nuchal rigidity, and positive Babinski reflex on the right side. Peripheral blood laboratory revealed leukocytosis of 1706 × 109/L. Head CT scan revealed diffuse brain swelling (Fig. 2). Cerebrospinal fluid analysis for leukocytes and protein was elevated and glucose levels were decreased, indicating bacterial meningitis. The cerebrospinal fluid culture showed no growth of microorganisms. The patient had a weakly positive antinuclear antibody (ANA) test, a weakly positive lupus anticoagulant test, and an anti-ds-DNA 2.4 test result.
Second patient’s head CT: A hypodense lesion on the subcortical frontotemporoparietooccipital left lobe and B frontal right lobe
The patient received vancomycin (500 mg every 6 hours, intravenous), meropenem (2 g every 8 hours, intravenous) for empirical therapy for 14 days and also dexamethasone (20 g every 24 hours, intravenous). The patient stayed in the ICU for 34 days. The patient’s condition deteriorated throughout the second week of treatment; she had altered mental status to E1M3VT. After a few days, the intracranial infection condition resolved. The fetus was in good condition, and there were no indications of termination of pregnancy, although due to prolonged hospitalization the patient also had ventilator-associated pneumonia (VAP) and had to be tracheostomized to hasten ventilator weaning, and had a complication of pneumothorax after tracheostomy. After 3 days on a chest tube, on day 32, the patient was able to be on spontaneous breathing trial (SBT), and on day 34 she was discharged from the ICU.
The third case was a 19-year-old Indonesian woman, multigravida, referred to our ICU with chief complaint of loss of consciousness 1 week before admission. For 1 week prior to admission, the patient had been unable to communicate or respond to inquiries clearly. This was followed by involuntary movement of the right arm and drooping of the right eyelid. There had been a fever 2 weeks prior to admission and a headache 6 months prior to admission.
During the physical examination, the patient was sedated with a Glasgow coma scale of 9 T. Blood pressure was 185/80 mmHg, with an irregular heart rate of 92 beats per minute, and saturation was 99% on a ventilator with FiO2 40%. Pupils were anisocoric (2 mm/6 mm, slow reactive/nonreactive). Nuchal rigidity was positive, with left eye’s nervus III paresis, ophthalmoparesis of the left eye, bilateral proptosis, and bilateral positive Babinski reflexes. On the extremities, there were clubbed fingers and left-sided hemiparesis. Obstetric examinations were normal.
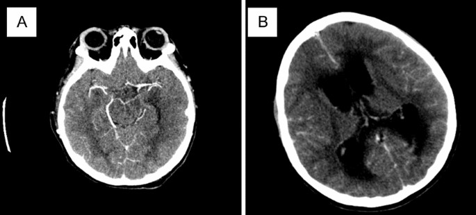
Laboratory results indicated leukocytosis of 1074 × 109/L. Cerebrospinal fluid analysis for leukocytes and protein were elevated, and glucose levels were decreased, indicating bacterial meningitis. The cerebrospinal fluid test revealed negative acid-fast bacilli, and the cerebrospinal fluid culture revealed no growth of microorganisms. Head CT scan revealed hydrocephalus and basal enhancement (Fig. 3). The patient was treated for meningoencephalitis tuberculosis (METB) with antituberculosis medication, including isoniazid (300 mg every 24 hours, orally), rifampicin (450 mg every 24 hours, orally), ethambutol (1000 mg every 24 hours, orally), and meropenem (2 g every 8 hours, intravenous), as well as adjunctive therapy with dexamethasone (20 mg every 24 hours, intravenous). The patient additionally had a ventriculoperitoneal (VP) shunt to treat the hydrocephalus. On day 12, the patient had drug-induced liver injury (DILI). Her hepatic enzyme levels rose more than tenfold, from aspartate aminotransferase (AST) 74 U/L and alanine aminotransferase (ALT) 80 U/L to AST 1580 U/L and ALT 1698 U/L due to the antituberculosis regimen. Isoniazid and rifampicin were stopped on day 13 due to elevated liver enzymes, and were switched for a modified antituberculosis medication, which includes levofloxacin (750 mg every 24 hours, intravenous), streptomycin (1 g every 24 hours, intravenous) and ethambutol (1 g every 24 hours, orally). On day 16, the patient’s condition improved, and she was discharged to the ward. However, on the next day (day 17), the patient was readmitted to the ICU due to a seizure and septic shock. The patient’s condition deteriorated, and the fetus was identified as IUFD on obstetric ultrasonography. This was later suspected to have caused sepsis due to intraabdominal infection due to the IUFD. The fetus was spontaneously delivered and evacuated on day 23 of hospitalization. Rifampicin was reintroduced on day 34, and isoniazid and pyrazinamide were reintroduced on day 38. In the following days after the spontaneous delivery, the level of consciousness remained compromised and the seizure progressed to an epileptic state. The intensivist consented to elevate the antituberculosis drug dose for the meningitis. The patient’s condition improved in the following days. Unfortunately, the patient was left with sequelae, including left-sided hemiparesis. On day 56, the patient was discharged from the ICU (Table 1).
Third patient’s head CT: A enhancement on bilateral sulci of cerebri fronto-parieto-occipital region and B hydrocephalus
Table 1 Summary of cases


