When cells are injured, they can “vomit” their insides out to help them heal faster, according to a new study. While effective, the process could also be implicated in diseases like cancer.

The discovery was made while scientists were investigating a recently discovered cellular process called paligenosis, where mature cells respond to injury by reverting to a younger-seeming progenitor state, similar to a stem cell.

Related: Dying Cells Play a Vital, Unexpected Role in Healing, Study Shows

The researchers found that rather than cleaning house slowly, injured cells could quickly jettison waste in a process the team called “cathartocytosis,” which may help them achieve a stem cell-like state sooner.

“After an injury, the cell’s job is to repair that injury. But the cell’s mature cellular machinery for doing its normal job gets in the way,” says first author Jeffrey W. Brown, gastroenterologist at Washington University in St. Louis.

“So, this cellular cleanse is a quick way of getting rid of that machinery so it can rapidly become a small, primitive cell capable of proliferating and repairing the injury. We identified this process in the gastrointestinal tract, but we suspect it is relevant in other tissues as well.”

It’s an abrupt purge, Brown explains, as if the cell vomits its contents. This offers a shortcut, helping cells tidy up and focus on rebuilding injured tissue more quickly than they could with gradual methods of waste disposal.

Researchers initially thought the cellular cleaning of paligenosis occurred within lysosomes, organelles that specialize in digesting waste relatively slowly.

They consistently noticed debris outside cells undergoing paligenosis, however, and eventually realized this was no coincidence.

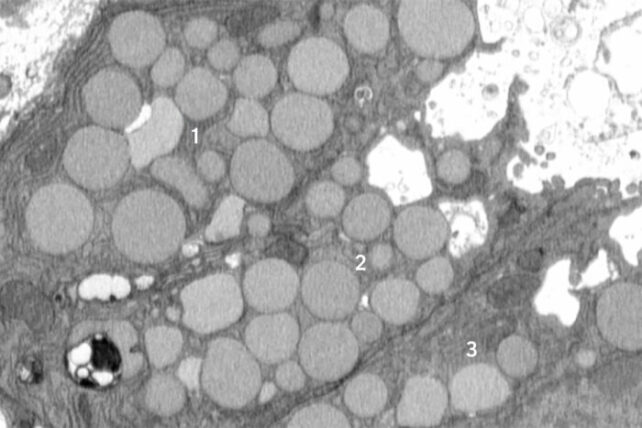
Injured Cells Can 'Vomit' Waste to Boost Healing, Study FindsThree mouse stomach cells (numbered 1-3) are shown jettisoning cellular debris through cavities (white) that form in their membranes. (Jeffrey Brown/Washington University School of Medicine)

Using a mouse model of stomach injury, Brown and his colleagues demonstrated the vomiting response is a standard behavior of cells in paligenosis, not just a quirk.

That expedience isn’t free, though. The researchers describe cathartocytosis as speedy but sloppy, with potentially significant trade-offs.

Releasing all that waste so quickly could cause new problems, like chronic inflammation and increased cancer risk, explains senior author Jason C. Mills, gastroenterologist at Baylor College of Medicine.

“In these gastric cells, paligenosis – reversion to a stem cell state for healing – is a risky process, especially now that we’ve identified the potentially inflammatory downsizing of cathartocytosis within it,” Mills says.

“These cells in the stomach are long-lived, and aging cells acquire mutations. If many older mutated cells revert to stem cell states in an effort to repair an injury – and injuries also often fuel inflammation, such as during an infection – there’s an increased risk of acquiring, perpetuating, and expanding harmful mutations that lead to cancer as those stem cells multiply.”

On the other hand, Brown adds, this also means cathartocytosis might help us identify precancerous conditions in patients, possibly enabling earlier detection and treatment.

“If we have a better understanding of this process, we could develop ways to help encourage the healing response and perhaps, in the context of chronic injury, block the damaged cells undergoing chronic cathartocytosis from contributing to cancer formation,” Brown says.

The study was published in Cell Reports.