The world’s most popular sport is reckoning with serious health concerns.

The largest study of its kind has now found that repetitively heading a soccer ball can negatively impact the brain, even in amateur players who don’t report concussions.

Among 352 amateur adult soccer players, those who took more than a thousand headers a year showed microscopic changes to the outer wrinkles of their brains, right behind their eyes, regardless of their age or sex.

Related: Study of ‘Slap Fighting’ Reveals Signs of Brain Injury in 78% of Participants

These players also performed slightly but significantly worse on memory and learning tests.

“What’s important about our study is that it shows, really for the first time, that exposure to repeated head impacts causes specific changes in the brain that, in turn, impair cognitive function,” explains neuroscientist Michael Lipton at Columbia University.

Lipton’s lab has been leading research on how soccer heading impacts the brain for over a decade now.

Contact sports, like American football, Australian rules football, and rugby, are also contending with the downsides of repetitive head trauma, but in these cases, the discussion is often framed as a concussion crisis typically reserved for professionals.

Lipton’s research at Columbia University suggests that even mild bumps to the head can add up, and it’s not just professional athletes or those who report concussions who are affected.

Previous studies by Lipton have shown alterations to white matter among amateur soccer players compared to swimmers. Meanwhile, other studies have found white matter changes even without a history of concussion. But linking these brain changes to clear alterations in cognitive function has proven tricky.

YouTube Thumbnail frameborder=”0″ allow=”accelerometer; autoplay; clipboard-write; encrypted-media; gyroscope; picture-in-picture; web-share” referrerpolicy=”strict-origin-when-cross-origin” allowfullscreen>

Lipton and his team have now developed a novel method that detects damage in the outermost wrinkles of the brain – a tricky spot to study using diffusion magnetic resonance imaging (dMRI).

This layer is called the cortical gray matter–white matter interface (GWI), and until recently, not much was known about it.

Using their new imaging technique, Lipton and his team scanned the brains of amateur soccer players, who had played for at least five years and within the last six months.

Those who said they took more headers showed significant changes in the GWI at the front of their brains – a spot consistent with the trajectory of a soccer ball during a header.

The authors suspect that this injury site reflects a contrecoup force – a sort of bruise to the brain that occurs on the opposite side of the skull.

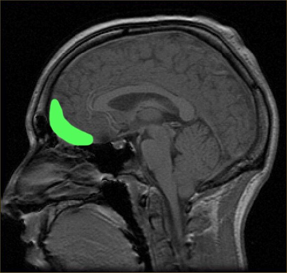
OrbitofrontalThe orbitofrontal cortex, where GWI changes were observed. (Paul Wicks/Wikimedia Commons/Public Domain)

Injuries to the GWI may have gone undetected or underestimated in other imaging studies, which is possibly why there are conflicting results on the neurological impact of soccer headers.

A graduate student in Lipton’s lab, Joan Song, developed a way to characterize what they were seeing in the MRI scans.

“In healthy individuals, there’s a sharp transition between these tissues,” Song explains. “Here, we studied if an attenuation of this transition may occur with minor impacts caused by heading.”

Sure enough, the boundary between white and grey matter was fuzzier in those who took more headers.

“It’s very strong evidence that these microstructural changes are likely to be a cause of cognitive deficits,” Lipton says.

Further investigation is needed, but the findings suggest that the GWI is a good place to image in future studies on soccer heading impacts.

It may even be associated with disorders like chronic traumatic encephalopathy (CTE).

The study was published in JAMA Network Open.