“Ja mēs būtu sūdzējušies, varbūt Madarai nebūtu jāpiedzīvo tas, ko lasām viņas mammas teiktajā,” saka Rūdolfa mamma Vineta un tāpēc dalās ar stāstu tagad, lai parādītu, ka sistēmā kaut kas nav kārtībā.
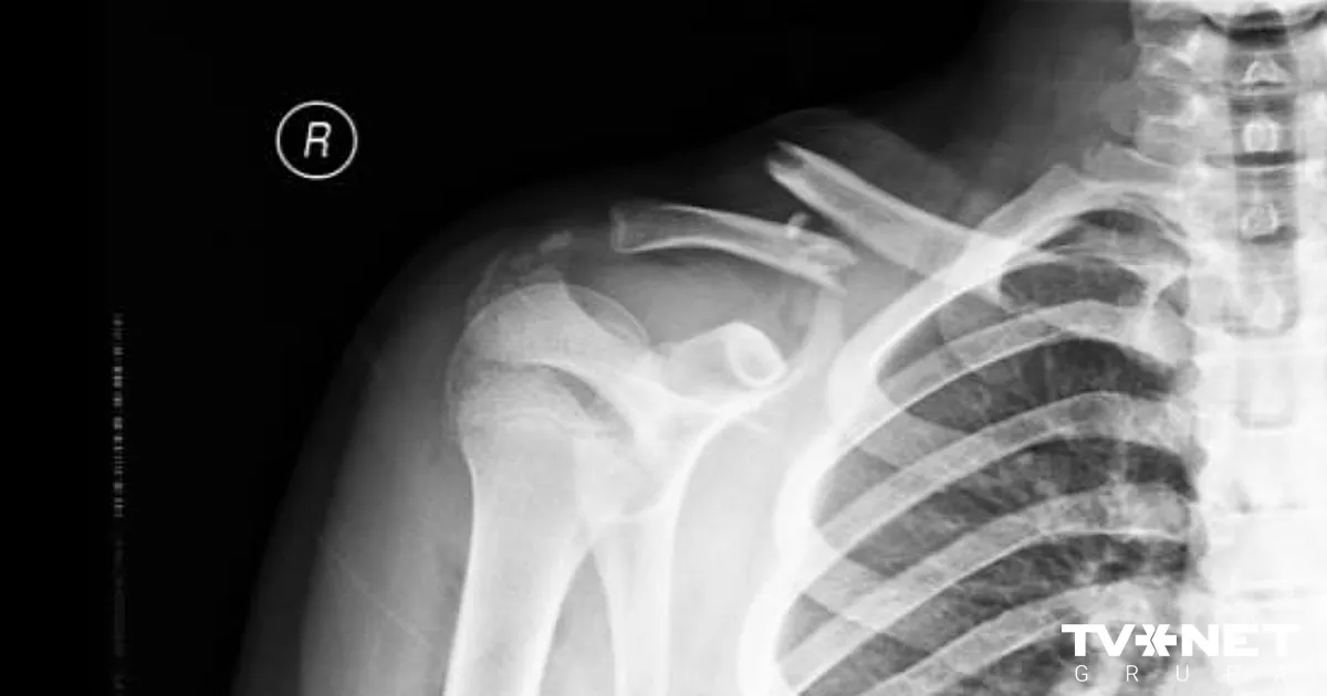
No 360 atslēgas kaula lūzumiem BKUS pērn operēts tikai viens. TVNET+ skaidro, kuros gadījumos to operē un kāpēc vecāki pašrocīgi meklē ķirurgus arī privātās iestādēs.