Science Corporation

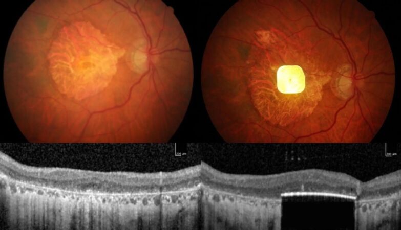
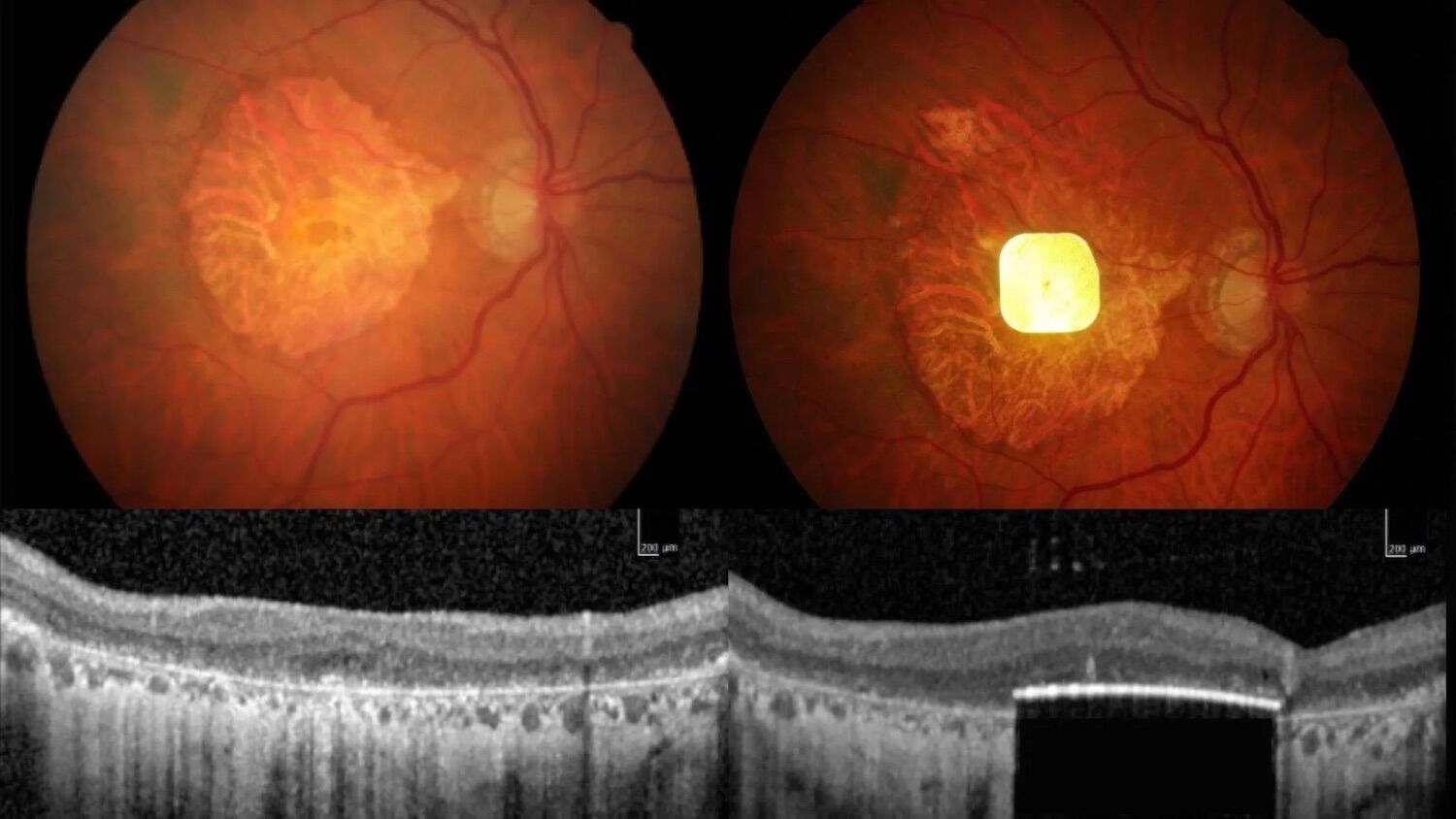
Imagem do chip no olho de um paciente
O chip, combinado com óculos de realidade aumentada, envia dados visuais diretamente para o cérebro. Em testes clínicos, a maioria dos participantes recuperou a visão suficiente para ler palavras e lidar com a vida quotidiana.
Um novo implante ocular eletrónico, combinado com óculos de realidade aumentada, devolveu a capacidade de ler a pessoas que tinham perdido a visão central devido a degenerescência macular seca relacionada com a idade (DMAE seca).
O ensaio clínico, que na Europa foi liderado por investigadores da University College London (UCL) e do Moorfields Eye Hospital e cujos resultados foram apresentados num artigo publicado na segunda-feira no The New England Journal of Medicine, envolveu 38 pacientes em 17 hospitais de cinco países.
A DMAE seca destrói gradualmente as células sensíveis à luz da mácula, degradando a visão central ao longo do tempo. Na sua fase avançada, chamada atrofia geográfica (AG), a degeneração pode levar à cegueira total do olho afetado à medida que a mácula central se deteriora.
Cerca de 5 milhões de pessoas em todo o mundo vivem com AG, condição para a qual não existe atualmente qualquer tratamento. Os participantes do estudo mantinham apenas visão periférica, nota o Science Daily.
O implante, conhecido como PRIMA, permitiu a 84% dos participantes no ensaio reconhecer letras, números e palavras num olho previamente cego. num quadro de testes de visão — cujos contornos, antes da cirurgia, nem sequer conseguiam distinguir.
O procedimento começa com a remoção do gel vítreo do olho, seguida da colocação de um microchip de apenas 2 mm por 2 mm sob a retina central.
Depois da cicatrização, os pacientes usam óculos especiais que captam imagens e as projetam no implante, transformando sinais visuais em estímulos elétricos que o cérebro interpreta como visão. Meses de reabilitação permitem aprender a ler novamente.

O sistema PRIMA inclui óculos de realidade aumentada que enviam sinais para um chip sem fios implantado no olho do utilizador
“Onde a retina morta era um ponto cego completo, a visão foi restaurada“, diz Frank Holz, oftalmologista da Universidade de Bona e autor principal do estudo, à Nature. “Os doentes conseguiam ler letras, conseguiam ler palavras e conseguiam realizar as suas atividades diárias.”
“Esta é uma nova era da visão artificial. Recuperar a leitura melhora significativamente a qualidade de vida, a confiança e a independência dos pacientes”, realça o professor Mahi Muqit, líder da equipa que conduziu o ensaio na Europa.
Sheila Irvine, uma das participantes, descreve a experiência como emocionante: “Foi incrível começar a ver letras novamente. Ler transporta-nos para outro mundo e sinto-me mais otimista.”
Aos 70 anos, Irvine pensava que nunca mais iria ler outro livro. “Sempre adorei ler, e queria recuperar isso. Estava nervosa, entusiasmada, todas essas emoções. Não senti dor durante a operação, mas continua-se consciente do que se passa.
“É uma nova forma de ver com os olhos, e foi extremamente emocionante quando comecei a ver uma letra. Aprender a ler novamente não é simples, mas quanto mais horas dedico, mais consigo”, conclui.