Numa história um tanto inusitada, um mágico e biólogo molecular do Missouri, nos Estados Unidos, perdeu o acesso a um chip RFID implantado na palma da sua mão, após esquecer a password do dispositivo.
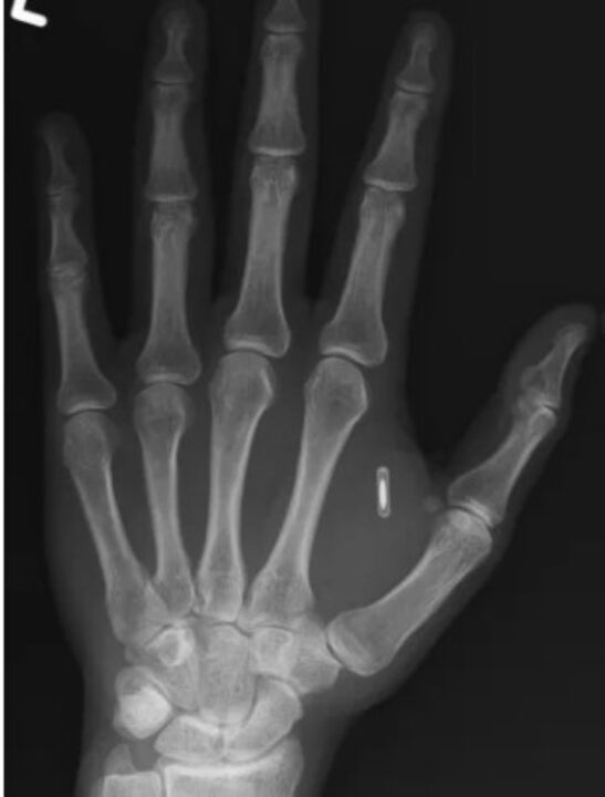
O mágico Zi Teng Wang, que atua sob o nome artístico Zi the Mentalist, partilhou recentemente a sua história, através do Facebook, mostrando uma imagem de raio-X com um objeto entre o polegar e o indicador da mão.
Segundo ele, citado pelo TechSpot, a imagem mostra a sua mão e um microchip RFID, que ele próprio implantou ali há vários anos.
Mágico perdeu o adereço no próprio corpo
O chip tinha como objetivo servir de adereço para truques de magia interativos, sendo ativado quando um smartphone com um leitor compatível era pressionado contra a mão de Zi.
Apesar do objetivo, o mágico não tardou a perceber as limitações do dispositivo na magia.
Os implantes RFID, normalmente compostos por um pequeno chip e uma antena envoltos em vidro biocompatível, são alimentados sem fios por leitores externos e podem armazenar uma quantidade modesta de dados.
Para seu proveito, Zi the Mentalist programou o chip para acionar eventos digitais, inicialmente como parte da magia, mais tarde como uma plataforma para experiências técnicas.
Contudo, o ato físico de orientar a audiência a mexer nos seus smartphones e tentar localizar o ponto exato necessário para ativar o leitor revelou-se complicado: muitos telemóveis vêm com as capacidades RFID desativadas por predefinição ou têm dificuldade em detetar o chip através da pele de forma fiável. Como resultado, a ilusão que Zi pretendia perdeu a fiabilidade técnica.
Imagem partilhada pelo mágico Zi Teng Wang, que atua sob o nome artístico Zi the Mentalist. O raio-X mostra um chip RFID entre o polegar e o indicador da mão.
Chip RFID está ainda hoje inutilizável
Não se deixando abater, o mágico continuou a experimentar o chip, sobrescrevendo-o para codificar um endereço Bitcoin e, mais tarde, um link do meme Imgur. Quando o dono da imagem alterou as suas URL, contudo, a função do chip ficou inativa.
Após tentar reprogramar o chip, no sentido de lhe conferir utilidade, Zi percebeu que havia esquecido a password para alterar os dados.
Os chips RFID e NFC modernos geralmente permitem que os utilizadores definam proteções para impedir alterações não autorizadas. No entanto, uma vez esquecidas, essas credenciais podem tornar o dispositivo quase impossível de aceder ou atualizar.
Ao contrário dos gadgets típicos de consumo, os chips implantáveis apresentam desafios únicos de recuperação: muitas tentativas falhadas de acesso podem bloquear permanentemente o dispositivo.
Com o chip RFID implantado na palma da mão, Zi pode representar um aviso importante para os curiosos, lembrando-os que brincar com a tecnologia pode ser divertido, mas exige cautela, correndo-se o risco de transformar a mão num enigma permanente.

