Toda vez que comia ou bebia algo muito gelado ou muito quente, a analista de qualidade e estudante de odontologia Letícia Helena Brusco, 28, sentia uma dor aguda nos dentes, um sinal de sensibilidade dentária, que, no seu caso, era causado por um problema mais amplo: a retração (ou recessão) gengival.

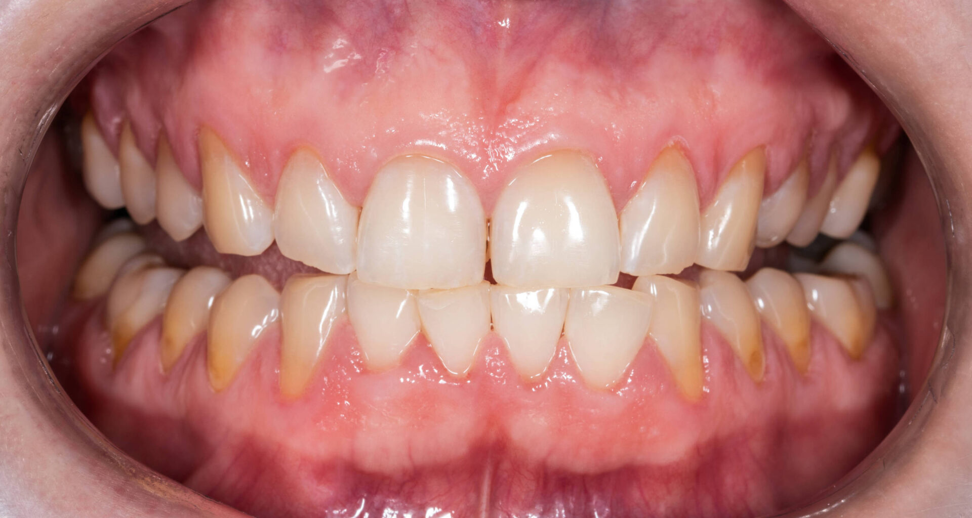
Essa condição, na qual a gengiva se afasta da base dos dentes e expõe a raiz, atinge cerca de 85% da população adulta mundial, de acordo com estudos, e compromete a saúde bucal como um todo, sendo que nos quadros mais graves pode até resultar na perda do dente afetado.

Foi para evitar que isso acontecesse que Letícia buscou tratamento. “Faz uns três anos, mais ou menos, que comecei a ter sensibilidade. Também notei que a gengiva estava ‘encolhendo’ em alguns dentes. O diagnóstico foi retração gengival”, conta. “Cheguei a fazer o recobrimento das áreas expostas com resina, mas depois descobri que esse não é o tratamento adequado.”

No começo deste ano, após se consultar com uma professora da faculdade onde estuda, ela optou por fazer a cirurgia de recobrimento radicular, o tratamento padrão indicado. Inicialmente, o procedimento foi realizado em quatro dentes do lado esquerdo inferior. Em uma próxima etapa, o mesmo será feito em outros cinco dentes inferiores e superiores.

“A cirurgia não é a coisa mais agradável do mundo, mas não me arrependo de ter feito. Mesmo ainda sem ter coberto todos os dentes que tenho retração, a minha qualidade de vida já melhorou muito”, relata Letícia. “E, apesar de meu caso não ser grave, decidi cuidar justamente para que não se torne.”

Problema progressivo

Progressiva, a retração gengival tem diversas causas, como explica Tamires de Miranda, professora de Periodontia da Associação Brasileira de Odontologia Seção São Paulo (ABO-SP) e do Programa de Pós-Graduação em Odontologia da Universidade Guarulhos. Algumas das mais comuns são traumas provocados pela escovação inadequada, geralmente com força excessiva e uso de escovas de cerdas duras, e por hábitos como roer as unhas, morder objetos (tampa de caneta, por exemplo) e usar piercing labial ou lingual.

“Outros fatores são bruxismo (ranger ou apertar os dentes), má oclusão (desalinhamento dos dentes) e doenças periodontais (gengivite e periodontite), causadas pelo acúmulo de placa bacteriana (tártaro)”, pontua a especialista. “A condição também pode ocorrer em pessoas que usaram aparelho ortodôntico por muito tempo e que consomem muitos alimentos ácidos, pois isso pode causar erosão no dente e, possivelmente, a retração.”

Além disso, quem tem fenótipo gengival fino têm maior predisposição à recessão gengival. Isso acontece porque a gengiva é, como o nome já entrega, mais fina, e, portanto, mais frágil e menos resistente a traumas. E, apesar de não serem causas primárias, tabagismo e consumo de álcool também podem ter impacto, pois aumentam a chance de lesões na mucosa e de doenças gengivais.

O envelhecimento é mais um fator que aumenta a probabilidade. A explicação, segundo Miranda, é que, com o tempo, os tecidos da boca sofrem um desgaste natural —a gengiva tende a perder volume e firmeza —e o osso de suporte do dente também pode sofrer reabsorção gradual, favorecendo a exposição da raiz. E tem mais: indivíduos com freio lingual (ou frênulo lingual), que é uma membrana que conecta a língua ao assoalho da boca, também são mais propensas à condição.

Como tratar a retração gengival

A retração gengival, no geral, evolui de forma lenta e, no início, pode não ter sintomas. Com o tempo, no entanto, a pessoa tende a desenvolver sensibilidade dentária —como aconteceu com Letícia—, devido à exposição da raiz do dente. O problema ainda afeta a estética do sorriso. Como a gengiva se afasta do dente, isso dá a impressão de que ele ficou mais longo, e é algo que costuma incomodar muita gente.

O principal sintoma da retração, a sensibilidade, no geral desaparece quando a condição é tratada. Mas, normalmente, é recomendado o uso de creme dental dessensibilizante, uso de escova macia e que se evite o consumo de alimentos e bebidas muito ácidos e muito quentes ou frios.

Miranda destaca que, se a condição evoluir, há o risco de a pessoa ter cárie radicular, que se desenvolve na raiz do dente, em áreas onde a gengiva retraiu. Além disso, inflamações gengivais associadas à perda óssea alveolar (diminuição do osso que sustenta os dentes) pode levar ao pior quadro, que é a perda do dente.

Para evitar essa situação, o tratamento precisa ser iniciado o quanto antes. O profissional indicado é o periodontista. Na consulta, ele analisará a saúde da gengiva e dos dentes e investigará as causas.

O cuidado começa justamente por aí: controlar o que está provocando a retração. Se o motivo for o excesso de força na escovação, o dentista vai orientar mudanças na técnica e indicar uma escova de cerdas macias. Já nos casos relacionados à doença periodontal, fará a remoção do tártaro e o controle da inflamação. Se for bruxismo, possivelmente recomendará o uso de placa de mordida e mudanças de hábitos.

“Sem tratar as causas da retração gengival, ela vai continuar acontecendo. Então, esse é sempre o primeiro passo”, observa Alexandra Dias, presidente da Sociedade Brasileira de Periodontia e Implantodontia (Sobrapi). “Depois disso, iremos avaliar a necessidade ou não da cirurgia radicular, que é o tratamento mais indicado.”

O procedimento consiste em reposicionar o tecido da gengiva ou adicionar tecido gengival proveniente do próprio paciente —geralmente retirado do palato (céu da boca)— ou de materiais biocompatíveis. O objetivo é cobrir a raiz exposta, reduzir a sensibilidade, proteger contra novas retrações e restabelecer a estética do sorriso.

“Essa é uma cirurgia com bons resultados, mas se o paciente tiver perda óssea ou perda de tecido entre os dentes, a chance de recobrir toda a raiz diminui. Por isso, é importante já procurar o dentista logo que a recessão gengival começar”, salienta Dias.

Cuide-se

E ela faz um alerta: “Muitos profissionais da odontologia, em vez da operação, recomendam recobrir as recessões com resina. Só que isso é totalmente contraindicado. Resinas não podem ser colocadas sobre superfície radicular. Superfície radicular precisa ser recoberta por tecido gengival”.

A presidente da Sobrapi complementa que a resina nestes casos aumenta a recessão gengival porque funciona como um fator retentivo de mais placa bacteriana, já que a sua presença dificulta a correta higienização dos dentes.