Dimensiune text

Mică
Normală
Mare

Oamenii de ştiinţă au constatat că îmbătrânirea cerebrală este mai accelerată la bărbaţi decât la femei. Într-un recent studiu, cercetătorii explică de ce bărbaţii pierd mai rapid volum cerebral odată cu vârsta, indiferent dacă au sau nu Alzheimer, transmite News.ro.

Urmărește cele mai noi producții video G4Media
– articolul continuă mai jos –

În anul 2021, 57 de milioane de persoane din întreaga lume sufereau de demenţă, iar în fiecare an sunt înregistrate aproape 10 milioane de cazuri noi. Demenţa este cauzată de o serie de afecţiuni şi leziuni care afectează creierul. Boala Alzheimer este cea mai frecventă formă de demenţă şi poate fi responsabilă pentru aproximativ 60–70% dintre cazuri.

Numai în Statele Unite, peste şapte milioane de americani sunt afectaţi de Alzheimer, iar estimările arată că până în anul 2050 numărul cazurilor se va apropia de 13 milioane, potrivit Asociaţiei Alzheimer.

Riscul pe durata vieţii de a dezvolta boala la vârsta de 45 de ani este de unul la cinci pentru femei şi de unul la zece pentru bărbaţi.

Noul studiu, publicat recent în revista Proceedings of the National Academy of Sciences – PNAS, arată că, deşi femeile sunt diagnosticate mai des cu boala Alzheimer, creierul bărbaţilor suferă o reducere mai rapidă a volumului odată cu înaintarea în vârstă. Această constatare oferă o nouă perspectivă asupra modului în care diferenţele biologice dintre sexe pot influenţa procesul de îmbătrânire cerebrală.

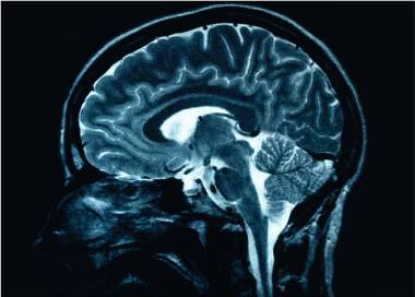
Studiul a analizat peste 12.000 de imagini RMN ale creierului provenite de la aproape 5.000 de persoane cu vârste între 17 şi 95 de ani. Cercetătorii au descoperit că, pe măsură ce îmbătrânesc, bărbaţii pierd volum cerebral mai rapid şi în mai multe regiuni decât femeile. Zonele afectate au fost în special cele responsabile de memorie, emoţii şi procesarea senzorială.

În schimb, la femei s-a observat o uşoară expansiune a ventriculilor cerebrali – spaţiile umplute cu lichid aflate în interiorul creierului – ceea ce sugerează o evoluţie diferită a îmbătrânirii cerebrale.

„Rezultatele noastre arată că bărbaţii prezintă un declin structural mai accentuat în mai multe regiuni ale creierului, ceea ce înseamnă că îmbătrânirea normală nu explică diferenţa de frecvenţă a bolii Alzheimer între sexe”, a declarat autoarea principală a studiului, Anne Ravndal, de la Universitatea din Oslo (Norvegia), citată într-un comunicat.

Ea a adăugat că rezultatele indică alte posibile cauze, cum ar fi diferenţele de speranţă de viaţă, de diagnostic sau factori biologici încă neînţeleşi complet.

Una dintre teoriile luate în considerare de specialişti este că prevalenţa mai mare a bolii la femei se explică prin faptul că acestea trăiesc, în medie, mai mult decât bărbaţii, iar vârsta este principalul factor de risc pentru demenţă. Totuşi, această explicaţie nu pare să fie suficientă, potrivit autorilor noului studiu.

„Nu este clar de ce există acest dezechilibru. Longevitatea a fost considerată o explicaţie, pentru că vârsta este un factor de risc puternic pentru demenţă. Însă acum observăm că nu explică totul, aşa că analizăm o varietate de alţi factori, atât biologici, cât şi sociali sau culturali”, a subliniat cercetătoarea Paola Gilsanz, de la Kaiser Permanente Northern California Division of Research, într-un articol publicat anterior de Asociaţia Alzheimer.

Alzheimer rămâne o boală complexă, influenţată de numeroşi factori genetici, hormonali şi de stil de viaţă, iar recentul studiu oferă o nouă direcţie de cercetare pentru înţelegerea diferenţelor de sex în îmbătrânirea cerebrală şi în riscul de demenţă.