Darren Harris had one symptom for years, but didn’t realise it was a sign of something far more serious

20:32, 20 Dec 2025Updated 20:32, 20 Dec 2025

Darren HarrisDarren Harris has called for people to help fund brain tumour research(Image: Brain Tumour Research / SWNS)

A 59-year-old man lived with an innocuous symptoms for years without realising it was a sign of something far more serious.

Darren Harris from Paignton had tinnitus, a ringing or buzzing in the ears, for several years. But when he went for a routine checkup on his ears he was puzzled when doctors kept sending him for further tests.

“I knew something wasn’t right, but no one would tell me why,” Darren said. “When I was finally referred to a neurosurgeon, my world fell apart.

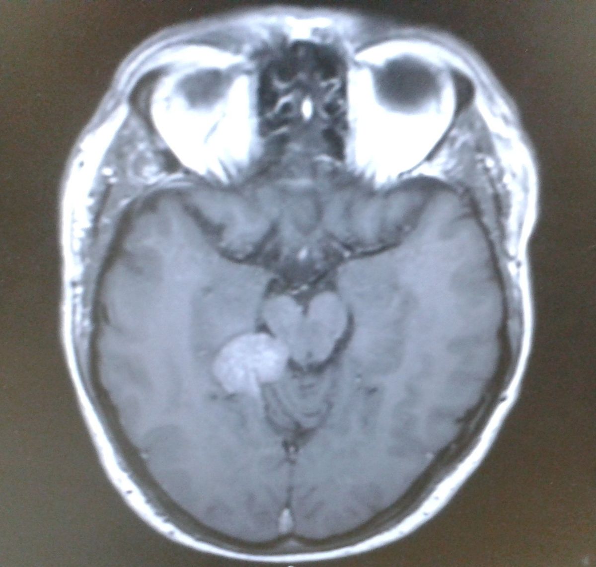
READ MORE: NHS GP urges people ‘stop brushing off’ these symptoms as ‘cases surge’READ MORE: ‘We never thought we’d hear our daughter laugh again – it’s a Christmas miracle’A scan of Darren's head showing his brain tumourMedics found a brain tumour(Image: Brain Tumour Research / SWNS)

In March 2015 it turned out that Darren had a very serious brain tumour which was only treatable using a highly specialised “cutting edge” technique that cost £35,000. This was gamma knife radiosurgery, and sounded like something out of a dystopian science fiction film.

The technique included bolting a metal cage to Darren’s face to restrict movement. This was because they had to create an extremely precise 3D map of his tumour, so that they could just target the tumour and not healthy tissue.

Once they created the 3D map, doctors then used more than 300 highly focussed beams of radiation to destroy the tumour cells. The technique worked and retired IT functional analyst Darren is now marking 10 years since his diagnosis, saying: “Reaching 10 years since my brain tumour diagnosis is something I never take for granted.

Darren Harris wearing the metal frame used in his surgeryDarren had a metal frame bolted to his face to keep him still during the procedure(Image: Brain Tumour Research / SWNS)

“I know how incredibly lucky I am to still be here, and that’s only because of the treatments and knowledge we have today. But too many people aren’t as fortunate, and that’s why funding into brain tumour research is absolutely vital.”

Darren has now called for continued investment in treatments to help other people who end up in his situation, saying: “The treatment cost £35,000. Luckily, I had private health insurance, but many families can’t afford that.

“We need continued investment so that more people can reach milestones like this, and so families in the future have real hope, better treatments and, ultimately, a cure”.

Darren Harris and his wife SharonDarren Harris and his wife Sharon(Image: Brain Tumour Research / SWNS)

Darren has also called for help on the Brain Tumour Research Christmas Appeal to help develop further treatments. He said: “A donation of as little as £5 can fund vital research that will ultimately save lives and give people like me hope for the future.”