
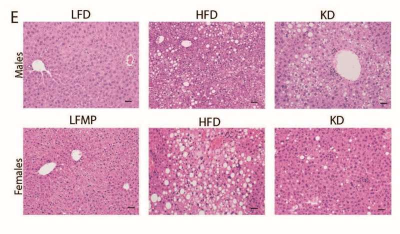
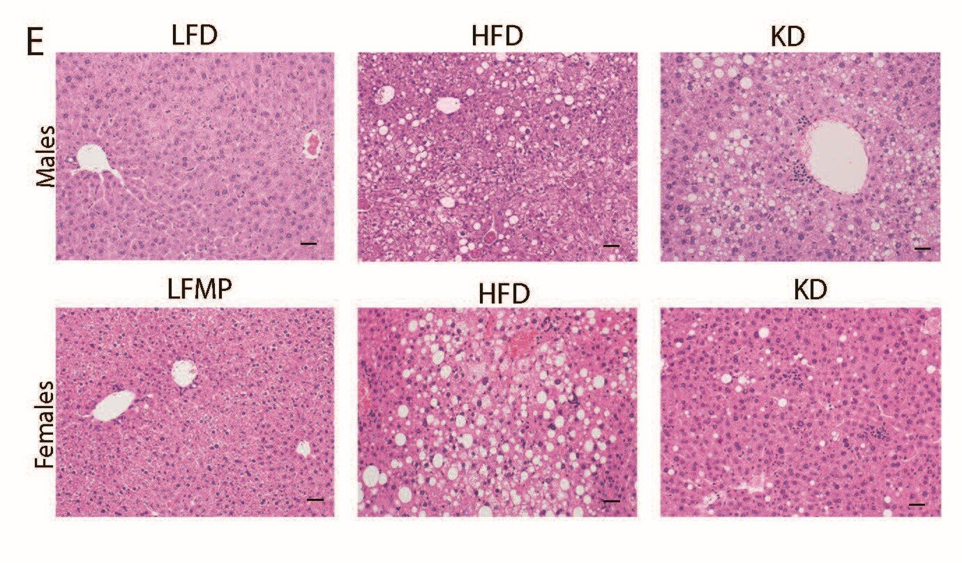
Representative images from males (top) and females (bottom) on diet for 28 and 33 weeks, respectively. Scale bars, 20 μm. Credit: Molly R. Gallop
Avocado toast with fried cheese as the bread and zucchini noodles in butter-bacon sauce are among the many recipe ideas fueling social media’s beloved high-fat, low-carbohydrate ketogenic, or keto diet. However, scientists have found that while keto can lead to limited weight gain and even weight loss, it does so at the cost of metabolic issues like glucose intolerance.
In a joint study by the University of Utah and Utah Diabetes and Metabolism Research Center, U.S., scientists divided mice into four dietary groups: ketogenic diet (KD, 90% fat), a high-fat diet (HFD, 60% fat), low-fat (LFD), and low-fat moderate protein (LFMP), with varying levels of carbohydrates and proteins.
The mice were allowed to eat freely for up to 36 weeks in males and 44 weeks in females. Test results showed that while the KD supported weight control, it also raised blood cholesterol levels and led to fatty liver in males.
The findings are published in Science Advances.
The diet is named “ketogenic” because it sends the body into ketosis—a metabolic state where the body burns fat as the primary fuel instead of the usual carbohydrates, and, as a result, produces molecules called ketone bodies. The diet isn’t a new food trend, it has been around for nearly 100 years and is well-established for treating drug-resistant epilepsy in children, by reducing seizures in many cases.
The exact way a KD helps control seizures is still unclear, but several ideas have been proposed. Some studies have suggested that KD can stabilize blood glucose (BG), which is beneficial to brain metabolism and neurotransmitter activity, while others highlight the anticonvulsant effects of ketone bodies themselves.

Electron micrograph images of pancreatic β cells showing Golgi dilation in KD. Credit: Molly R. Gallop
As ketogenic diets have exploded in popularity in recent years, the researchers of this study wanted to explore the long-term metabolic effects of following the diet. Previous studies have explored this arena, but often reported mixed findings or did not directly compare KDs to other diets or account for both sexes.
For this study, the researchers included both male and female mice and carried out regular check-ins to assess the long-term effects of KD on health parameters, including body composition, organ health, and blood profile.
They found that KD protected against excessive weight gain compared to the conventional high-fat diet, but gained more weight than low-fat diets. Long-term KD caused severe hyperlipidemia, meaning there were very high levels of fat in the blood.
KD-fed mice developed severe glucose intolerance because the diet caused a severe impairment in insulin secretion from the pancreas. While female mice on KD seemed fine, the male ones showed signs of liver dysfunction and fatty liver.
The findings made it quite evident that long-term KD can trigger several metabolic disturbances, raising caution against its widespread use as a health-promoting diet.
The researchers note that further studies are needed to explore how variations in fat composition and macronutrient ratios affect metabolic effects. This is especially important for making the ketogenic diet safer for people who rely on it to treat epilepsy.
Written for you by our author Sanjukta Mondal, edited by Sadie Harley, and fact-checked and reviewed by Robert Egan—this article is the result of careful human work. We rely on readers like you to keep independent science journalism alive.
If this reporting matters to you,
please consider a donation (especially monthly).
You’ll get an ad-free account as a thank-you.
More information:
Molly R. Gallop et al, A long-term ketogenic diet causes hyperlipidemia, liver dysfunction, and glucose intolerance from impaired insulin secretion in mice, Science Advances (2025). DOI: 10.1126/sciadv.adx2752
© 2025 Science X Network
Citation:
Popular keto diet linked to glucose intolerance and fatty liver in mice (2025, September 23)
retrieved 23 September 2025
from https://medicalxpress.com/news/2025-09-popular-keto-diet-linked-glucose.html
This document is subject to copyright. Apart from any fair dealing for the purpose of private study or research, no
part may be reproduced without the written permission. The content is provided for information purposes only.