For years, my family struggled to understand the constant, mysterious pain my younger sister and I endured. Her cries were so frequent that she earned the nickname “Holly” because she was always hollering in discomfort.

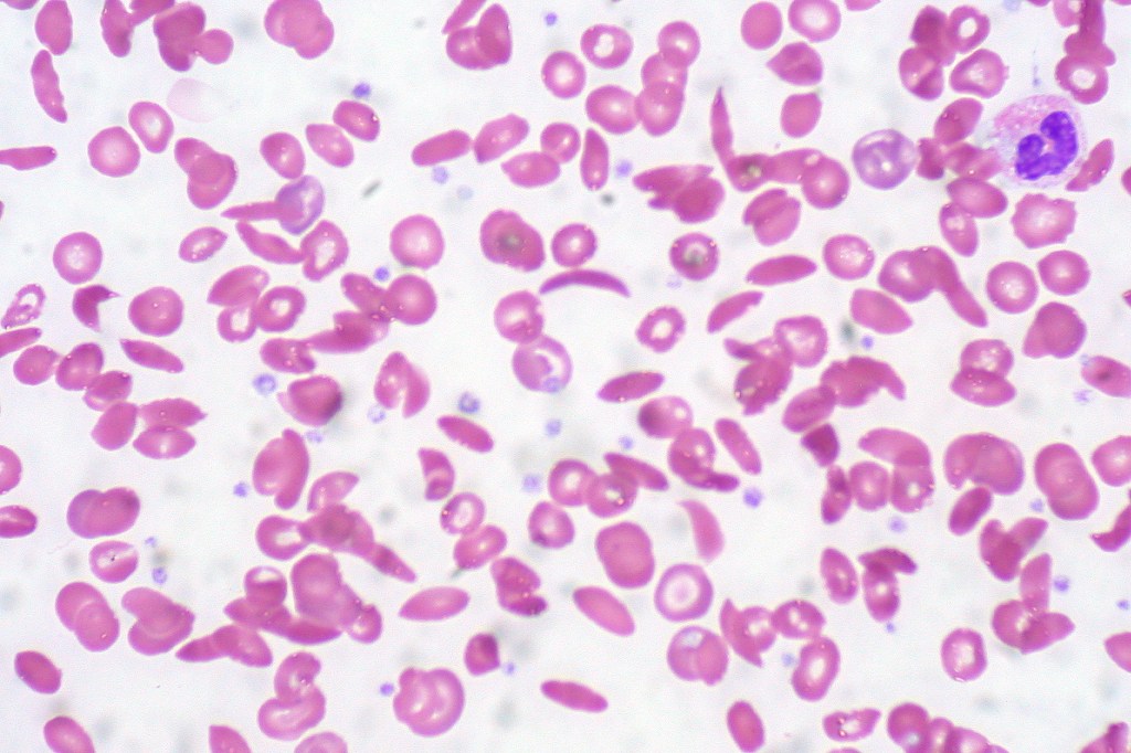
Growing up in the 1970s, newborn sickle cell screening wasn’t yet a standard practice. It wasn’t until our family doctor tested my sister at age 3 and me at 6 that we finally got answers: We both had sickle cell disease.

Despite the odds, I’ve outlived the statistics. In California, the average life expectancy for individuals living with sickle cell disease is only 45 years. I’m now 49, a proud mother of five and hopeful for many more years ahead. But my journey has been anything but easy. And along the way, I’ve lost too many loved ones far too soon, including my sister, who died at just 18. Her loss shaped the way I see this disease and deepened my determination to seek better care.

Those of us living with sickle cell disease battle not only our own bodies but also a health care system that often overlooks us. Despite it being the most commonly inherited blood disorder in the United States, access to quality care remains limited, especially in the transition from comprehensive pediatric care to fragmented adult care where we are suddenly expected to manage this complex disease with little guidance or support. It’s isolating, exhausting and, at times, traumatic.

Without consistent care, many of us end up relying on emergency rooms. The stigma attached to sickle cell disease, often labeled a “Black disease,” means we are frequently treated like drug seekers rather than people in crisis. I’ve often had my pain dismissed, my symptoms downplayed, and been forced to wait longer for care as providers invalidate what I’m feeling.

Everything changed when I found the UC San Diego Health Sickle Cell Clinic and my incredible care team, led by Dr. Srila Gopal. The clinic serves about 142 of the estimated 254 adult sickle cell patients in San Diego County, filling a critical gap. Together, we created a personalized care plan and established emergency protocols to ensure I’m treated based on my medical needs, not assumptions.

As part of the Networking California for Sickle Cell Care, a statewide initiative created to increase access to high-quality adult care, I’m finally receiving the specialized care I’ve needed my whole adult life, the care I wish my sister had. Networking California for Sickle Cell Care’s impact extends far beyond my story.

Across its 12 clinics, the network provides nearly 1,000 California adults living with sickle cell disease with comprehensive, coordinated care from specialized providers and community health workers.

The results are clear: Emergency visits among sickle cell patients have decreased by 11%, hospitalizations by 20%, and hospital stays by 50%. These aren’t just numbers, they represent real people whose lives have been improved, families strengthened and hope restored.

California has made real progress in improving care for adults living with sickle cell disease, thanks to strong leadership at the state level. Sen. Akilah Weber Pierson, D-La Mesa, has been a driving force. Her commitment to sickle cell warriors and strengthening Networking California for Sickle Cell Care has led to meaningful improvements in care.

But that progress is fragile. Continued funding is essential to ensure Networking California for Sickle Cell Care can keep providing the stability so many rely on. And the outlook could worsen.

Federal cuts to Medicaid threaten to dismantle the safety nets that keep more than half of sickle cell patients alive. This could mean fewer clinical visits, more ER trips, more pain and more loss.

I urge our state leaders to not let this progress crumble. Their past support has allowed us to finally receive the care we need, and I hope our leaders continue to recognize the impact it’s had.

California has proven that when systems are built with understanding, compassion and equity, individuals living with sickle cell disease don’t just survive but thrive. I’m living proof of that.

And every day I live, I carry my sister’s memories with me. She is the reason I keep fighting. For her, for myself, and for every person still waiting to be seen, heard and healed.  

Williams is a San Diego resident living with sickle cell disease.